November 1, 2018
Bon Secours Mercy Health executives, sponsors work to forge unified culture
Avera Health contributes to large study of child health, well-being
Sacred Heart Health escapes worst of Hurricane Michael
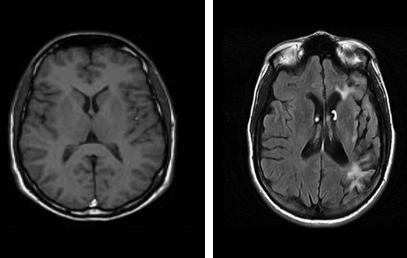
Barrow cares for domestic violence victims with traumatic brain injury
Hospitals use purchasing power to 'green' interior design market
Bon Secours invests in transportation improvements in Richmond, Va.
Families of pediatric patients get ready-to-heat meals from St. Joseph's in Paterson, N.J.
St. Joseph PACE staff ensures clients' safety in Hurricane Florence
Keeping Up